极客简报| 苹果称取消充电器很大胆;中国统一快充标准产品发布;华为盯上了联想的蛋

  消费者业务受到阻挠后,华为正通过种种方法无限延长产品的生命周期。本周,他们正式全面进军商用领域,未来将重点为政企和教育、医疗、制造、交通、金融、能源等行业提供商用办公产品解决方案。

  在产品方面,华为已经针对商用领域推出了笔记本、台式机、显示器、平板、打印机、智慧屏、穿戴 7 大系列产品。

  华为商用产品拥有高标准服务水平。比如意外损坏可免费更换一次原厂备件;提供一站式安装部署服务;专业工程师上门维修;工程师上门设备维护等等。

  这款充电宝支持 iQOO 44W 私有协议闪充、45W PD 协议快充和 40W 融合快充。在这三种协议中,40W 融合快充协议是首次见到。据相关信息称,这是中国制定的 UFCS 统一快充规范,需要搭配对应协议的手机和充电线才能激发。

  UFCS 快充规范全称 Universal Fast Charging Specification,该标准由绿色能源工作组(WG10)主导,信通院、华为、OPPO、vivo、小米牵头,并得到了荣耀、矽力杰、瑞芯微、立辉科技、昂宝电子、电酷网络等多家终端、芯片企业和产业界伙伴的支持。

  以 iPhone 为例,苹果淘汰了包裹 iPhone 包装盒的塑料膜,减少了 600 吨塑料用量。在充电器方面,由于不再标配充电器,苹果已节省了 55 万吨的铜、锡和锌矿石。苹果还进一步表示,「不标配充电器」的决定非常大胆,不过这减少了对地球资源的开采,很值得。

  另外,苹果还介绍了环保材料在 iPhone 上的用处。100% 再生金用于主板镀层与前后摄像头排线% 再生稀土元素用于所有磁体。100% 再生锡用于主板与电池管理单元焊料。天线条带取材于改造的回收水瓶。

  苹果还表示,位于贵州贵安和内蒙古乌兰察布的 2 个 iCloud 数据中心都使用 100% 可再生电力。大家听的 Apple Music、发的 iMessage 信息,都运行在由清洁能源驱动的服务器上。

  《绝地求生手游》成为国际奥林匹克指定电子竞技游戏已经有一段时间了,但相比于《英雄联盟》、《FIFA Online》这样的游戏题材来讲,「吃鸡」的游戏方式相对更容易引发争议。

  但根据上周亚洲电子体育联合会(AESF)发布的公告中来看,针对今年杭州亚运会比赛需求开发的定制版《绝地求生手游》,将会与目前我们熟悉的手游版本在玩法上有很大区别。

  玩家之间将不再是通过射击或跑毒赢取胜利,而是需要通过「包括但不限于跳伞、越野驾驶、定点射击等多种方式来取胜」。

  换言之,虽然名为「吃鸡」,但比赛选手们几乎已经是在玩手游版「铁人三项」,这让吃鸡作为电子竞技游戏来讲有些「名不副实」,但至少不与奥运赛事所强调的精神所冲突了。

  一加回归 OPPO 之后,产品策略逐渐发生了一些变化,本周他们推出了定位中端市场的一加 Ace。

  从名义上讲,一加 Ace 是之前 OPPO Ace2 的继任产品,但了解近期手机产品的朋友都知道,一加 Ace 其实就是 realme GT Neo3 的换壳版本,他们拥有相同的核心配置,都搭载天玑 8100 处理器,配备 150W 闪充等。

  售价方面,一加 Ace 的起售价为 2499 元,主要竞争对手是 Redmi K50 以及兄弟产品 realme GT Neo3。Redmi K50 是三款中发布最早的一个,而且目前来看,它也是优势最大的一个,不仅比一加 Ace 更便宜,而且还拥有更出色的 2K 屏幕。

  时隔半年,小米 Civi 进行了一次小小的升级,先是芯片平台换成了骁龙 778G+,然后加入了一款「奇迹阳光」新配色,最后还加强了美颜功能。

  小米 Civi 1S 售价 2299 元起,比上代便宜 300 元,主要竞争对手是荣耀 60、OPPO Reno7、vivo S15 等,这些产品也被数码群体称为「线下机」,其中,小米 Civi1S 的优势在于轻薄的手感和较低的价格,而它的不足是在受众人群中,品牌认可度可能没有竞品高。

  严格意义上讲,上述几款机型(包括 Civi1S)都算前一代产品,不过以目前的节奏来看,等到 6 月份左右,新一代「线下机」才会上市,到时候如果 Civi 2 能够顺利发布,将有机会和 OV 荣耀同台竞技。

  realme Q 系列是中低端市场中很有竞争力的产品,主要竞品是 Redmi Note 系列。

  本周发布的 Q5 系列相比前代得到了大幅提升,尤其是定位最高的 Q5 Pro,搭载骁龙 870 芯片平台、80W 闪充和三星 E4 AMOLED 屏幕,另外 Q5 标准版也有骁龙 695 和 60W 闪充。

  realme Q5/Q5 Pro 的价格为 1399/2099 元,它的优势主要在于不错的外观设计,而且后期也有较大的降价空间。

  宝马这两台车型均代表了该级别的最高水平,但相信更多人还是最关注他们的全新外观设计。除了采用了 4 系上率先使用的「大鼻孔」进气格栅外,还首发的用上了「眯眯眼」的分体式大灯,这似乎让宝马 7 系这种主打商务豪华旗舰的车型看上去「另类」,成为了不少人眼中的槽点,但预计上市后会「真香」。

  其实都不用看售价区间,从外观上就能看出 Grecale 直接对标的就是保时捷的 Macan,不知道这款保时捷最畅销的车型,被玛莎拉蒂「复刻」后还能不能重塑三叉戟的辉煌。

  华为 Mate Xs 2:4 月 28 日发布,折叠屏旗舰,外折设计,麒麟 9000 芯片。

  vivo S15 系列:预计下月发布,会取消刘海设计,搭载骁龙 870 / 天玑 8100 芯片平台。

  smart 精灵 #1:4 月 25 日上市,经典小车 smart 被吉利电击「复活」了,基于吉利浩瀚 SEA 架构打造,同时也是吉利负责整车工程开发,和奔驰关系是在于由梅赛德斯-奔驰主导设计。这样一台精品小车,你认为多少钱合适?

  东风本田 e:NS1:4 月 26 日上市,作为本田推出的重磅纯电车型,e:NS1 有着全新的设计,并且在内饰设计上进行较大幅度的升级,与燃油车型形成较大的差别。在人们关心的续航方面,e:NS1 拥有 420 公里和 510 公里(CLTC)两种续航里程可供选择。

  上汽大通 MAXUS G90:4 月 29 日上市,作为上汽大通的全新中大型 MPV,G90 的长宽高分别为 5280/1999/1845mm,轴距为 3200mm,这个尺寸甚至比奔驰 V 级还要大了一圈,动力上采用 2.0T 涡轮增压四缸发动机+48V 轻混系统,最大功率 234 马力,最大扭矩 390 牛米,匹配爱信 8 速自动变速箱。

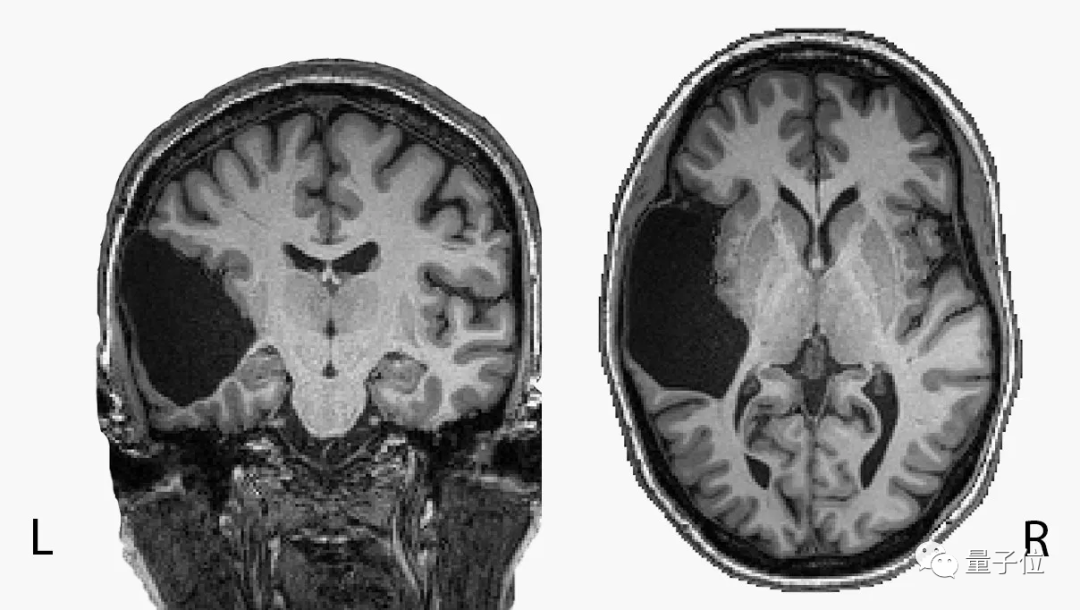
  近日,一名神奇的女子登上热门,该名女子左脑缺失了一部分,奇特的是这不仅没有影响到她的日常生活,甚至还顺利的完成了她的研究生学业,并对母语英语和俄语十分精通。

  这名女子(化名 EG)在自己 25 岁时发现自己的左脑缺失了一部分,不仅自己的脑干不完整,甚至原本属于左颞叶的地方也已经成为了液体,但她依旧学会了两种语言,使她的语言 IQ 测试排进前 2%。

  这则趣闻告诉我们,「脑子进水」并不一定代表着它比别人更笨。甚至还有网友调侃道自己脑子挺全的,但不聪明,希望有人能研究一下这背后的原因。

  本文由极客公园 GeekPark 原创发布,转载请添加极客君(ID:geekchoiecs)。

  公司地址:北京市朝阳区酒仙桥路4号751 D·Park正东集团院内 C8座105室 极客公园